Aort Diseksiyonu

Aort diseksiyonu nedir?

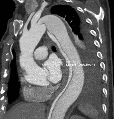
Aort ya da aorta diseksiyonu göğüs ya da karın bölgesindeki aort denen ana damarın iç zarının yırtılmasıdır. Damar duvarında tam yırtılma seyrektir. Sadece iç zar yırtılır. O da kendine göre sorunlar yaratır. En önemli sorun damarın bir katmanı yırtıldığı için damar duvarının zayıflamasıdır. Duvar zayıflayınca damarda balonlaşma yani anevrizma oluşma ihtimali artar. Bu da uzun dönemde damarın tüm duvarının yırtılmasına ve çok ciddi iç kanamaya yol açabilir. 

Neden önemlidir?

Aort diseksiyonu son derece ciddi ve acil bir durumdur. Çünkü aort çok büyük bir damardır ve yırtılması ölümcül olabilir. İlk diseksiyon yani iç yırtılma olduğunda hastaların çoğu acile başvurur, bazıları acile ulaşamadan kaybedilir. Ancak ilk yırtılma sonrasında İlk anda acil bir ameliyata ya da anjiyografi ile tedaviye (stent greft tedavisi) ihtiyaç olabilir.

Tedavi gerekmez ise uzun dönemde aortada anevrizma gelişme ihtimali nedeniyle devamlı doktor takibinde olmak gerekir. 


Ne tür yakınma oluşturur?

Aort diseksiyonları genellikle çok şiddetli sırt ya da göğüs ağrısı oluşturur. Sırt ağrısı genellikle bıçak keser gibi keski n bir ağrıdır. Ağrı bazen hafif olabilir. Ağrı diseksiyonun olduğu sırt ya da göğüs bölgesindedir. Eğer aynı anda kanama da olmuşsa bu klinik tabloyu daha da kötüleştirir. Kanamaya bağlı ağrı, nefes darlığı tansiyon düşüklüğü ya da şok oluşabilir.

Nasıl tanı koyarız?

Aort diseksiyonlarının tanısı öncelikle klinik şüphe ile olur. Hasta genellikle şiddetli ağrı nedeniyle acil kliniğe başvurur. Acile şiddetli yırtılır derecede sırt ağrısı ile gelen bir kişide öncelikle aort içi zarında ayrılma düşünülür. Tanı için radyolojik görüntüleme yöntemlerine ihtiyaç vardır. Genellikle bilgisayarlı tomografi ya da kardiyoloji uzamnın yapacağı eko (ekokardiyografi) ile kesin tanı konabilir. Damar yırtılmasına eşlik eden damar anevrizması yani balonlaşması varsa o da kesin olarak belirlenir. 


Aort diseksiyonunda tedavi

Diseksiyon yani aort iç duvarının yırtılması bazen hiç sorun yaratmaz ve bu durumda herhangi bir tedavi gerekmez. Sadece ilaçlarla tansiyonun kontrol altına alınması yeterlidir. Bazen de yırtığın düzeltilmesi gerekir. Bu durumda iki tedavi yöntemi vardır: Ameliyat ve anjiyografi ile tedavi.

Aort diseksiyonlarında standart tedavi yöntemi, ameliyatla bu damarın onarılmasıdır. Bazı durumlarda ameliyattan başka seçenek yoktur. Ancak bir grup hastada ameliyat dışında anjiyografi ile tedavi mümkündür. Bu yöntemde normal anjiyografi gibidir ancak damara girim deliği ve yerleştirilen stentler diğer damar stentine göre çok daha büyüktür. Kullanılan stent normalden farklı olarak özel bir kumaş ile kaplıdır ve çok daha geniştir. Kullanılan kaplı stent çapı 2.5-3.5 cm civarındadır.

Tedavide amaç damarın genişlemiş bölgesine kaplı stentler konarak genişlemiş bölgeyi devre dışı bırakmak ve damarın yırtılmasını engellemektir.

Bu stentler cerrahın ameliyatla yerleştirdiği yapay damarlara benzer. Sadece ameliyatsız da yerleştirilebilmesi mümkündür. En önemli avantajı işlemin kolay olması , daha kısa sürmesi, işlemden sonra yatış süresinin kısa ve işleme bağlı risklerin daha az olmasıdır.
Ancak aort anevrizmalarında kaplı stent yerleştirilmesi ile yapılan bu tedavi her hasta için mümkün olmayabilir. Sadece anatomik yapısı uygun olan hastalarda mümkündür.