- Damar tıkanıklığı organları besleyen atardamarların daralarak tıkanmasıdır.
- Atardamarlar kalpten başlayarak en uç bölgelere kadar organları besleyen damarlardır. Tıkanması durumunda organın beslenmesini engelleyerek organın normal işlemesini bozabilir.
- Her bölgede tıkanıklık belirtisi birbirinden farklıdır.
- Tıkanıklığın en sık ve önemli sebebi damar sertliği ya da damar kireçlenmesidir.
- Damar sertliği vücuttaki tüm damarlarda görülebilri
- En sık kalp, beyin, boyun ve bacak damarını daraltır ya da tıkar.
- Damar sertliği her insanda görülebilir, 50 yaşından sonra sıktır.
- Tıkanma sigara içen insanlarda, şeker hastası, hipertansiyon, kolesterol yüksekliği olan ve ileri yaştaki insanlarda daha sık görülür.
- Bu tıkanıklığı açan ilaç ya da beslenme yöntemi yoktur.
- Tek çözüm ameliyat ya da anjiyo yöntemidir.
Damar Tıkanıklığı ve Tedavisi
Damar tıkanıklığı vücutta herhangi bir damarın damar sertliği ya da benzeri bir damar hastalığına ya da kalpten atan pıhtıya tıkanmasıdır. Bir damarda hafif daralma olursa bu hiç sorun yaratmaz. Daralma daha belirgin olursa kan akımını azaltır, tıkanırsa azalma daha belirgin olur. Damar tıkanıklığı her organda farklı belirti verir.
Damar tıkanması pıhtı ile olursa bu genelde aniden gelişir. Pıhtı hemen her zaman kalpten gelir. Kalpte oluşan bir pıhtı atardamarlar yoluyla vücutta beyin dahil her organa atabilir (emboli yapabilir) Şikayetler de bir anda başlar. Eğer damar sertliğine bağlı olursa aylar içinde gelişir ve yakınmalar da yavaş yavaş olur.
Tıkanıklığın Nedenleri
Damar tıkanıklığının en önemli nedeni damar sertliği ya da damar kireçlenmesi ateroskleoroz denen hastalıktır. Bu hastalık tüm damar tıkanmalarının neredeyse %95'ini yapar.
Damar sertliği dışında kalpten pıhtı atması, Buerger hastalığı tromboanjiitis obliterans, Takayasu hastalığı (nabızsızlık hastalığı) gibi damarın iltihabi hastalıkları da damar tıkanması yapabilir. Buerger hastalığı damar sertliği olan hastalara göre sigara içen daha genç insanlarda insanlarda görülen önemli bir atardamar hastalığıdır. Burger hastalığı ülkemizde sık görülür.

Bir damar duvarının damar sertliğine bağlı zaman içinde nasıl daraldığı ve tıkandığı izleniyor. Sol taraf normal damar, sağ tarafa doğru damarda daralma başlıyor ve daralma ilerliyor. Sonunda bu damar tamamen tıkanacak ve hangi organı besliyorsa orada beslenme sorunu oluşturacaktır.
Damar Tıkanıklığı Kimlerde Sık Görülür?
Atardamar tıkanıklığı herkeste görülebilir, ancak bazı insanlarda daha sıktır:
- 50 yaş üzerinde, yaş ne kadar ilerlerse damar sertliği o kadar sıklaşır
- Diyabet yani şeker hastalarında
- Sigara içenler
- Kanda lipid yani kolesterol ya da trigliserid düzeyi yüksek olanlar
- Hemodiyalize giren böbrek hastalarında
- Hipertansiyon hastalarında damar sertliği daha sıktır.
Damar Tıkanıklığının Belirtileri Nelerdir?
Damar tıkanıklığı hangi damardaysa ona göre farklı belirti veriri, yani hepsinda aynı sorun yaşanmaz. Kalpte kalp ağrısı, bacakta bacak ağrısı, beyinde felç ve benzeri belirti verebilir. Aşağıda her bölge tıkanmasının oluşturduğu yakınmalar detaylı olarak açıklanmıştır.
Kalp Damar Tıkanıklığı
Kalp damar tıkanıklığı kardiyoloji (kalp hastalıkları) uzmanlarının uğraş alanıdır.
Kalpte kalbi besleyen koroner damarlar vardır. Bu damarlar kalbi besleyerek, kalbin normal çalışmasını sağlar. Koroner damarlarda daralma ya da tıkanma olduğu zaman hiç belirti vermeyebilir, hafif kalp spazmı yani kalp ağrısı olabilir ya da kalp krizi gelişebilir. Bunlar çoğunlukla göğüs ağrısı, sol kolda uyuşma yapar. Koroner damarlarda tıkanma varsa ve açılması gerekiyorsa ya stent yerleştirilerek açılır ya da koroner bypass ameliyatı denen açık ameliyatla açılır.
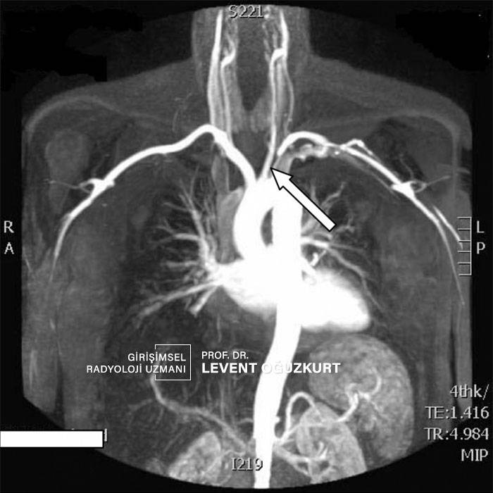
Boyun ve Beyin Damar Tıkanıklığı (karotid arter tıkanıklığı)
Boyunda iki şah damardan (karotid arter) herhangi biri ciddi şekilde daralırsa beyne pıhtı atma (beyne emboli) ihtimali ortaya çıkar. Küçük küçük pıhtıların atması gözde geçici kararma, konuşma bozukluğu, yüz felci, şuur bozukluğu ya da inme (felç) yapabilir.
Karotid ya da şah damarı boyun bölgesinde bulunur ve beyne kan götüren en önemli damardır. Şah damarında daralma ya da tıkanma önemlidir çünkü hayati bir organ olan beynimizi etkiler. Beyne kan gidişi azalır ya da darlık bölgesinden beyne pıhtı atarak felce yol açabilir. En önemli nedeni damar sertliği ya da damar kireçlenmesi (ateroskleroz) dediğimiz hastalıktır.

Boyun damarlarındaki darlıktan beyne pıhtı atması felç oluşturabilir. Ancak bazen felç öncesi daralmaya bağlı uyarıcı nitelikte şikayetler olabilir. Bunlar vücut veya yüzde uyuşma-karıncalanma, kol ve bacaklarda kuvvet kaybı, konuşmanın bozulması veya konuşamama, bulanık görme veya göze siyah perdelenme, geçici bilinç kaybı, şiddetli baş dönmesi gibi uyarılardır.
Arter = Atardamar
Ven = Toplardamar
Ateroskleroz = Damar sertliği hastalığı
Stenoz = damarın daralması
Oklüzyon = damarın tamamen tıkanması
Diyabet = Şeker hastalığı
Hipertansiyon = yüksek tansiyon
Anjiyo = atardamar girilerek bu damarların görüntülenmesi ve gerekiyorsa tedavi yapılması işlemi
Şah damarından beyne pıhtı atarsa ne tür şikayetlere yol açar?
- Gözlerde kısa süreli kararma. Bu bir tek gözde olur ve daha büyük sorunlar gelişmeden önemli bir sinyaldir.
- Yüzde ya da kolda uyuşma ya da güç kaybı
- Kol ve bacaklarda güç kaybı, uyuşma ve karıncalanmalar
- Kol ve bacaklarda felç
- Konuşma ya da konuşulanı anlama bozukluğu
- Beyne pıhtı atmadan da şah damarı darlığı geçmeyen baş dönmesine yol açabilir.
Hastaların büyük bir kısmında inme sonrasında boyun damar darlığı fark edilir ve tedavi edilir. Önemli olan bu darlığın sorun yaratmadan yani felç ya da benzeri büyük sorun oluşmadan teşhis ve tedavi edilebilmesidir.
Şah damarı darlıklarında stent ya da ameliyat tedavisi ne zaman gerekir?
- Karotid damarında daralma damarında yarısından fazlaysa ve bir şikayet oluşturuyorsa ya da oluşturmuşsa damarın açılması gerekebilir. Tedavi ya ameliyatla darlığın düzeltilmesi ya da anjiyografi ile stent yerleştirilmesidir.
- Bazı durumlarda sadece ilaç tedavisi yeterli olacaktır.
- Darlığın tedavisinde hem ameliyat hem de stent yerleştirilmesi birbirine benzer yöntemlerdir.
- Her ikisinden biri yapılabilir. Her birinin kendine ait avantaj ve dezavantajları vardır.
- Burada girişimsel radyolojinin yaptığı şah damarının stent tedavisine yer verilmiştir.

Şahdamarı daralmasında stent tedavisi anjiyografi sırasında yapılır. Damara kateterle girilir ve stent yerleştirilir. İşlem yaklaşık 30 dakika sürer.
Şahdamarı tam tıkalıysa anjiyo ile açılır mı?
Stentleme sadece damarda daralma varsa yapılır. Şahdamarı tam tıkalıysa tedavi sırasında beyne pıhtı atacağı için açılma işlemi kesin olarak yapılmaz.
Bağırsak Damar Tıkanıklığı (Mezenter İskemisi):
Bağırsakları besleyen atardamarlar mezenterik arterlerdir. İki tane mezenterik arter vardır (süperior ve inferior mezenterik arter). Biri daha çok ince bağırsakları, diğeri daha çok kalın bağırsakları besler.
Bu damarların tıkanması iki şekilde olur.
1) Bir pıhtının aniden mezenter damarı tıkaması. Bu pıhtı genelde kalpten atan bir pıhtıdır. Buna akut mezenter iskemisi (ani bağırsak damarı kansızlığı) denir. Çok şiddetli karın ağrısı yapar ve bağırsak kangrenine yol açabilir. Ameliyat gerekebilir.
Tedavi ya kan sulandırması ya da o damarın ameliyatla ya da daha çok anjiyo yöntemi ile açılmasıdır.
2) Diğeri daha çok damar sertliğine bağlıdır ve yavaş yavaş gelişir. Buna kronik mezenter iskemisi (iskemi=kansız kalma) denir. Genel olarak yemekten sonra karın ağrısına yol açar. Hasta her yemek sonrası karın ağrısı çeker ve hastalık ilerlerse yemek yemek çok ciddi ağrı yaptığından hasta yemek yiyemez olur ve kilo kaybı oluşturabilir. Uzun dönemde ishal atakları olabilir. Tedavi gerekirse genel olarak anjiyo ile o damar açılır. Sorun çözümlenir.
Kol damar tıkanıklığı
Kol atardamar darlığı en sık damar sertliği ya da damar kireçlenmesi (ateroskleroz) denen hastalığa bağlı oluşur. Takayasu hastalığı da sıklıkla kol ana damarında daralma ya da tıkanma yapar. Bunun dışında kalpten pıhtı atması (trombus atması ya da tromboemboli) ile de kol damarında ani tıkanma oluşabilir. Damar sertliği aylar ya da yıllar içinde olur ve yakınmalar yavaş yavaş gelişir. Kalpten pıhtı atması ile tıkanma ise anında ciddi yakınma yaratır ve acil tedavisi gerekir.

Ne tür yakınma oluşturur?
Kol damar darlığı ya da tıkanması herhangi bir şikayet yapmayabilir. Yakınma oluşturmuyorsa tedavi edilmesi gerekmeyebilir.
En sık yakınmalar kol ile bir iş yapıldığında kolda kolayca yorulma ve iş yaparken kolda ağrı olmasıdır. Özellikle kolu yukarı kaldırdığımız zaman (banyoda başımızı yıkarken, çamaşır asarken vs) yakınmalar çok daha belirgin olur. Bir özelliği kol damarı ciddi şekilde daralırsa ya da tıkanırsa o kolda tansiyon daha düşük çıkar. Eğer sağ ve sol kol tansiyonları arasında 20 den fazla fark varsa (örneğin tansiyon sağda 140, solda 115) bu genellikle kol damarında tıkanmaya bağlıdır. Bu hemen her zaman sol koldadır.
En önemli tanı yöntemleri radyolojik görüntüleme yöntemleridir. Öncelikle en kolay olan renkli Doppler ultrason inceleme yapılır. Ancak MR ya da bilgisayarlı tomografi ile yapılan anjiyografi tanıda daha değerlidir.
Ne zaman tedavi gerekir?
Kol damarında darlık miktarı %50'den fazlaysa ve o kolda iş yaparken yorulma, ağrı gibi yakınmalar oluşuyorsa tedavi önerilir. Tedavide günümüzde sadece anjiyografi ile tedavi yöntemleri kullanılmaktadır. Ameliyat sadece damar anjiyografi ile açılamazsa başvurulan bir tedavi yöntemidir. Ancak hemen her damar tıkanması anjiyografi ile açılır, açılamama ihtimali son derece düşüktür.
Kol damar tıkanıklığında anjiyografi ile tedavi nasıl bir yöntemdir?
Anjiyografi ile kol damarlarının açılması diğer bölgelerdeki damarların açılmalı ile hemen hemen aynıdır. Bu darlıklarda balondan çok stent yerleştirilmesi yöntemi kullanılır. Detaylı bilgi için anjiyografi ile tedavi bölümüne bakabilirsiniz.
İşlem sırası ve hemen sonrası gelişebilecek yan etkiler (komplikasyonlar)
Tüm anjiyografi ile damar tıkanmalarının tedavisi riskleri burada da geçerlidir. Anjiyografide girim yerinde kanama ya da balonlaşma olabilir. Damarda tıkanma varsa balon ya da stentleme sırasında darlık ötesine pıhtı atabilir ancak bunlar son derece seyrektir. Tecrübeli ellerde riskler son derece azdır.
Böbrek damar tıkanıklığı (renal arter stenozu)
Halk arasında böbrek damar tıkanıklığı olarak geçse de böbrek damarlarında sıklıkla gördüğümüz ve tedavi ettiğimiz durum böbrek damarlarında tam tıkanma olmadan sadece daralma olmasıdır. Buna renal arter stenozu adı verilir.
Damarda daralma ya da tıkanıklık bir çok atardamar hastalığında olduğu gibi damar sertliği ya da damar kireçlenmesine bağlıdır. Bu tıkanıklık ya da daralma bazen hiç bir sorun yaratmaz ve tedavi gerektirmez. Bazı durumlarda ise tedavi gerekir.

Renal arter stenozu ne zaman tedavi edilmelidir?
- Damardaki darlık böbrek fonksiyonlarını kötüleştiriyor ise yani üre ya da kreatinin seviyesinde yükselme varsa
- Hastanın hipertansiyonu varsa ve 3 ilaç kullanmasına rağmen kontrol edilemiyorsa
- Hastanın hipertansiyonu varsa ve sistolik yani büyük tansiyon 20 mmHg üstüne çıkıyorsa
- Hipertansiyon varsa ve son dönmede daha kötüleşti ya da yükseldi ise
- Hipertansiyon genç yaşta ortaya çıktı ise (20-40 yaş arası)
Bu durumlara renovasküler hipertansiyon adı verilir. Yani hipertansiyonun sebebi muhtemel böbrek damar daralması ya da tıkanmasıdır. Ancak bu tüm hipertansiyonlu hastaların %2 si kadardır. Bu nedenle her hipertansiyonu olan kişide damarda sorun bulunursa tedavi gerekmez.

Renal arter stenozuna stent tedavisi
Böbrek damar darlığında en sık kullanılan tedavi yöntemi anjiyografi ile tedavidir. Bu tedavi vücudun diğer bölgelerinde yapılan stent tedavileri ile hemen hemen aynıdır. Bu nedenle anjiyografi ile damar darlık ve tıkanmalarının tedavisi bölümündeki bilgilere başvurabilirsiniz.
Damar tıkanıklığı ve sigara
Damar sertliğine bağlı damar tıkanması genetik bir sorundur. Ancak çevresel faktörler tıkanma oranını artırır ve tıkanmasının daha kötü olmasına yol açabilir. Şeker hastalığı , ileri yaş, hipertansiyon, kolesterol yüksekliği damar tıkanıklığını daha kötü yapan etkilerdir. Ama bunların en önemlisi sigaradır.
Sigara içildiği yıl ve içilen sigara miktarıyla doğru orantılı olarak damara zarar verir Yani ne kadar çok içilmişse ya da ne kadar uzun zamandan beri içiliyorsa o kadar fazla damar hasarı oluşturur. Bu nedenle damar tıkanıklığı olan insanların kesin olarak sigara içmemesi gerekir. Sigara bağımlılıktır ve bırakılması ne yazık ki o kadar değildir. Sigara bırakmada en önemli etki kişinin kafasında sigarayı bırakma isteğinin tam olmasıdır. Eğer kendi çabamızla sigara bırakamıyor isek devletin sigara bırakma poliklinikleri ya da göğüs hastalıkları sigara bırakma polikliniklerinden bu konuda yardım alabiliriz.